
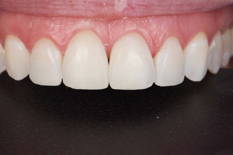
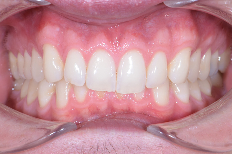
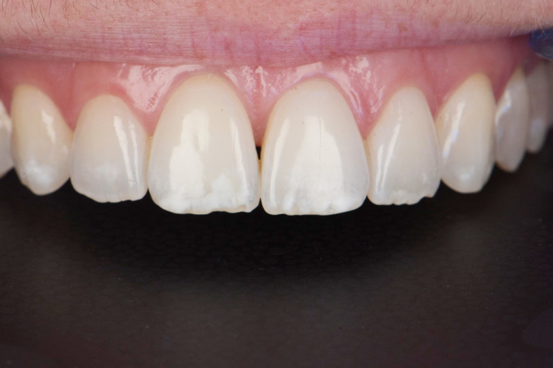
Composite bonding can be used to effectively cover and correct chipped, worn, damaged or misshapen teeth, improving tooth shape and creating your ideal smile. The composite material can perfectly mimic tooth enamel, and can be colour matched to blend seamlessly into your smile.
Composite is built directly onto the edges of your tooth, needing no alterations to be made to your natural tooth at all. The treatment is quick, needing just one appointment to complete and achieve a beautifully natural looking smile.
Free e-consult
What does composite bonding treatment involve?">Initially, we discuss how you want to improve your smile with composite bonding, before preparing for treatment. We clean and dry your tooth and add a special dental gel to the surface, to ensure the composite will bond properly.
We apply the composite material in layers, carefully and gradually building up the desired new tooth shape. The composite is colour matched to your natural tooth shade, or the shade of your choice if you’re looking for a whiter smile.
We harden the composite using a UV light before smoothing and beautifully polishing it so it looks just like a natural tooth.
Take free e-consultThe best way to care for your tooth is to keep up with an excellent oral hygiene routine at home. While the composite can’t decay, the natural tooth underneath still can, so maintaining regular brushing and flossing will keep your restored tooth healthy and long lasting.
No, composite bonding is completely pain free. As the composite material is built up directly onto your tooth, no enamel or tooth structure needs to be removed and no anaesthetic or drilling is necessary.
Yes, none of your natural tooth needs to be removed to make way for the composite material, so it can be removed if you change your mind or decide you no longer want it on your tooth. As long as you have kept up with an excellent oral hygiene routine, your tooth underneath will be unaffected.
