FREE Mini E-consultation

Our Results

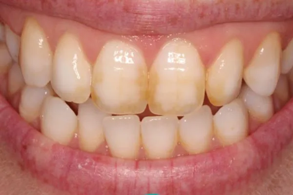
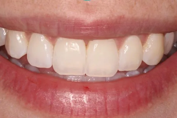
Tooth Whitening

Tooth Whitening

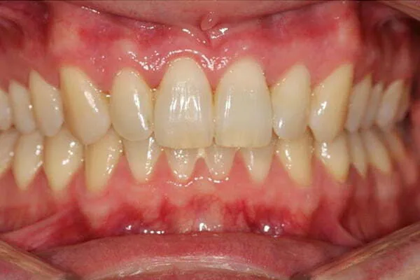
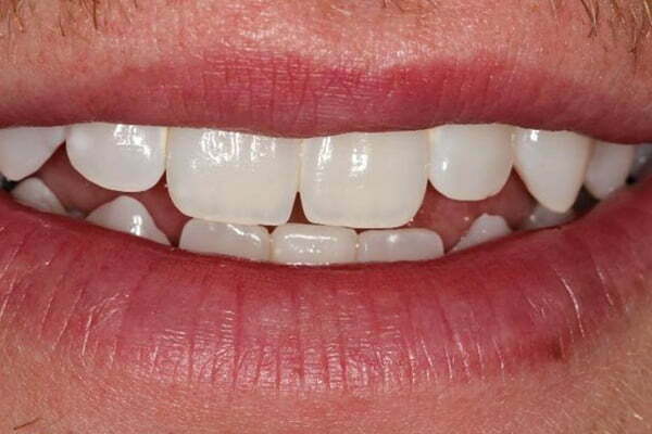
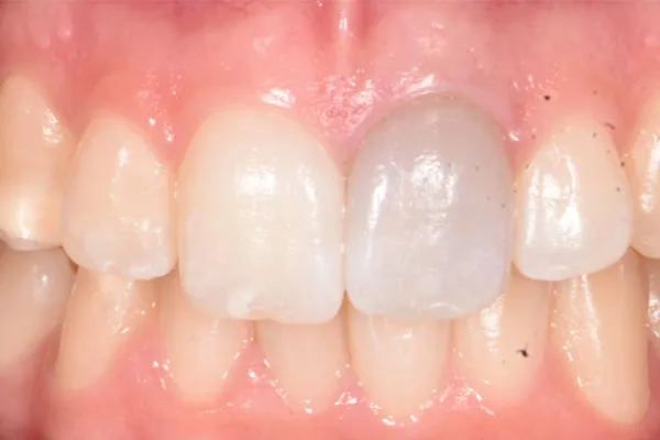
Internal Tooth Whitening

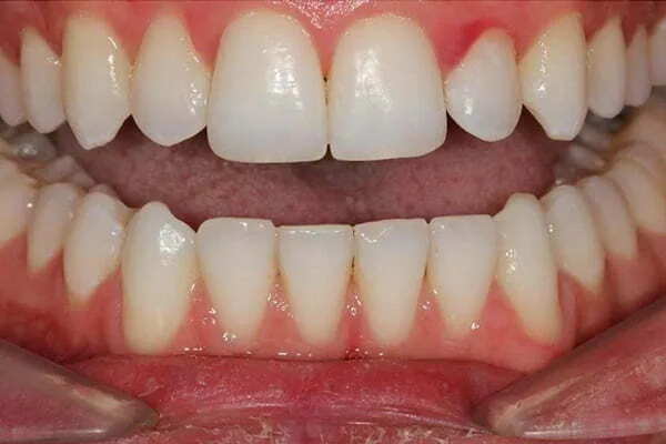
Bonding

Bonding

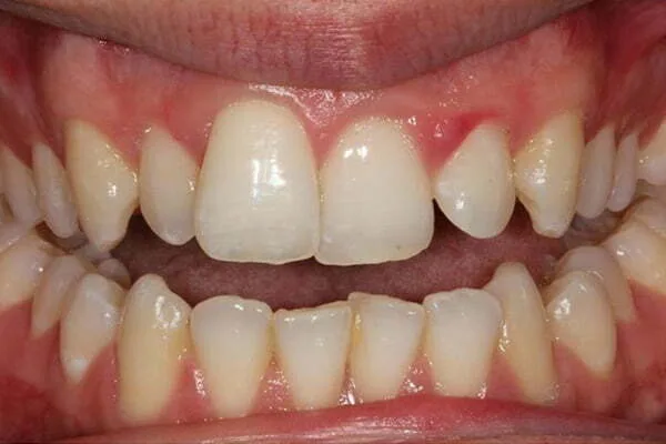
Filling

Onlay

White Spots

Porcelain Bridge

Invisalign

Invisalign

Invisalign

Invisalign

Invisalign

Invisalign

Invisalign

Invisalign

Invisalign

Invisalign

ICON - White Spot Removal

Composite Bonding

Composite Bonding

Send an email

Get in touch with our friendly team today
location icon email icon phone icon