Discreet
The clear braces are designed with aesthetics in mind, and virtually invisible when worn. No one will know you are on a journey to straighter teeth!


If you have put up with a smile that you're not happy with for just that little too long, then our FREE Invisalign consultations in Edinburgh are ideal for you. You can visit our stunning city centre practice, ask all the questions that you like about Invisalign and invisible braces, and find out more about payment options, including interest free credit.
But hurry – these free spaces are strictly limited, so book your place by filling in the contact form. We will then get in touch to arrange a convenient time for your visit.
Contact Us Now
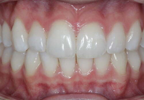
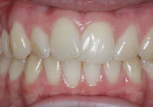
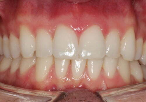
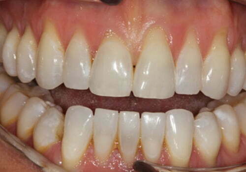
Invisalign is the clear alternative to fixed braces, using virtually invisible aligners to straighten your teeth in comfort, without any metal brackets or wires digging in and irritating your mouth. It is extremely easy to use, with the custom made aligners gradually moving the positions of your teeth across the course of your treatment.
Invisalign fits seamlessly into your life, needing no changes to your usual routines, diet or lifestyle. Gradual and gentle forces are applied to your teeth as your bespoke aligners are worn for the recommended 20-22 hours each day, removed only for eating, drinking and cleaning. Their clear nature makes them hardly able to be seen when worn, giving a confidence boost even during your treatment!
Take free e-consult Download Invisalign FAQ's
‘I have been the owner and Principal Dentist of the Edinburgh Dental Studio since 2010. I have developed a keen interest in adult orthodontics and have now treated hundreds of patients, helping them achieve the smile they deserve.
Utilising the latest technology, we provide modern, bespoke dentistry and a unique approach to treatment that allows you to co-design your smile and experience it before treatment begins.'
Meet the whole teamThe clear braces are designed with aesthetics in mind, and virtually invisible when worn. No one will know you are on a journey to straighter teeth!
Invisalign’s comfortable aligners are completely removable, allowing you to eat and drink whatever you choose and maintain your oral hygiene routines at home.
Invisalign uses modern digital technology throughout your treatment process, including accurate 3D scans, ClinCheck software which gives a preview of your smile and SmartTrack material to create comfortable and innovative aligners.
Invisalign creates incredible results using gradual and gentle forces to effectively and efficiently move the positions of your teeth and correct issues including misalignment and gaps.
At your first visit to our Edinburgh practice, we assess your oral health, making sure that your gums are healthy enough for orthodontic treatment and you are happy to go ahead. We take digital scans and images of your teeth and smile and discuss your dream results. We also give you the opportunity to ask any questions.
We create your bespoke treatment plan using the scans and images taken of your teeth. We also share your ClinCheck video with you, produced by Invisalign to digitally show how your smile will progress through your treatment and your predicted final results before you even get your first aligner!
When your custom made aligners are ready, we fit your first set and show you how to insert and remove them correctly. We make sure you feel happy and comfortable with your treatment, and give you some advice and instruction on when to wear and how to maintain your aligners. We keep a close eye on your treatment progress at regular appointments, making small adjustments if necessary to ensure a stunning outcome.
Once you have worn your last aligner, your treatment is complete and you can get ready to show off your brand new straight smile! You will need to wear a retainer to maintain the new positions of your teeth, which we will give you along with advice on when and how to wear it.
At our Edinburgh practice, we view Invisalign treatment not as a mere cost, but as a worthwhile investment in achieving the smile you've always envisioned. To make this life-changing treatment accessible, we offer a range of flexible payment options, including 0% finance and manageable payment plans. Since every Invisalign treatment journey is custom-tailored to your unique needs, the investment will vary depending on the complexity of your case, with options starting from as little as £88 per month. Begin your transformation today by completing our free online e-consultation, and we'll craft a personalised package designed specifically for your smile goals right here in Edinburgh.
Yes, Edinburgh is home to some highly experienced Invisalign system providers, including ourselves! We are proud to have achieved the prestigious Platinum Elite Provider status.
The Invisalign system uses a tiered system to recognise providers based on their extensive experience and the significant number of successful cases they've completed. A Platinum Elite provider is considered an expert in Invisalign treatment, demonstrating a profound understanding and proficiency in achieving outstanding results.
When you choose a Platinum Elite provider in Edinburgh, you can be confident that your smile transformation is in the hands of a highly skilled and experienced professional, ensuring you receive expert care throughout your Invisalign treatment journey. Book your consultation with our friendly team today.
Treatment time varies from case to case, but most Invisalign treatment at Edinburgh Dental Studio is completed in 9-18 months. At your initial consultation, we will let you know how long you can expect your treatment to take, depending on the complexity of movement needed to achieve.
Teeth have a habit of moving out of position over time, even after Invisalign treatment. Retainers are able to keep your teeth straight and in their desired positions. We advise you to wear your retainers on a part time basis (overnight works well) for as long as you wish your smile to stay straight.
You may find it takes a few days to get used to the aligners, and may have a slight lisp at first, but you should be talking clearly and confidently before long.
You need to wear your aligners for around 22 hours a day in order for your treatment to be most effective. You can take them out for eating, drinking, brushing your teeth and playing contact sports.
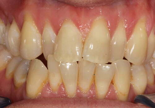
Invisalign treatment in Edinburgh can help with a whole range of orthodontic issues, including crowding, misalignment, gaps, and incorrect bites. Straightening your teeth can also have a positive effect on your overall appearance, as bringing teeth into straighter positions enhances your facial shape and structure.
Once treatment has been agreed upon, the following clinical appointment series will take place:
1. First aligner fit, attachments, and possibly IPR
2. Set up Virtual Care app, instructions sent via email. Send photos and review weekly through the app
3. Arrange appointments as and when required in the practice
4. Attachments off and scan for either refinement if needing to or removal and scan for temp retainers for whitening.
5. Once whitening is complete at the end of treatment and the patient is happy scan for viveras
6. Fit retainer
Toothbrush and water. Do not use boiling water as it will warp your aligner! Tablets are available to purchase from our reception to keep retainers clean but most patients just use a toothbrush and water. By the time the aligner is beginning to get a little stained, it is usually time for your new aligner.
Commonly, people out for a meal have been known to stick them in a napkin and they get thrown away. If you place them in the case this won't happen. If you do lose one, simply get in touch and we will advise you depending on where you are in your treatment sequence.
Once you are fitted with your aligners and your attachments and IPR have been carried out we typically review patients via the virtual care app. We will monitor progress and arrange review appointments in practice at different stages of your treatment plan.
Invisalign Virtual Care has just taken Invisalign treatment tracking to the next level! The ‘My Invisalign’ mobile phone app has some amazing features that will feel like you’ve taken your care team home to keep an eye on your aligner wear and your tooth movement – whilst giving you the freedom to visit us less often. ‘My Invisalign’ App can be used by ALL Invisalign Patients to elevate their treatment process. ‘Invisalign Virtual Care’ is built into the app and your clinician will tell you if your case is suitable to be enrolled in it.
PERSONALISED TREATMENT CALENDAR
Take control of your aligner treatment and customise your appointments, aligner changes, and other treatment events!
CUSTOMISED ALIGNER TRACKER
Use the aligner tracker to stay compliant with your orthodontist’s recommended wear time. Hold yourself accountable to the minimum hours of wear by logging when your aligners are in and when your aligners are out. You’re in control of the ‘Total Wear Hours”.
SAVE PHOTOS
We’ll give you a cheek retractor and teach you how to take orthodontic pictures so that you can save photos and comments as you progress to your new smile! You can share your photos and videos with your friends and family from the app too! You’ll be reminded to take photos before your aligner changes too so that your clinician can match your treatment progress with your planned tooth movement to your Invisalign ClinCheck!
REMINDERS AND NOTIFICATIONS
Virtual Care will help you stay on track with your aligner changes, your appointments, and any other treatment requirements – staying on track will keep your treatment moving as expected. Efficient treatment can be so much faster!
Choosing Invisalign treatment at our dental clinic in Edinburgh offers a unique blend of local convenience and access to highly skilled professionals. You benefit from in-person consultations, allowing for precise 3D scanning and personalised treatment planning with immediate feedback from us. Our Edinburgh dental practice boasts experienced Invisalign providers, including Platinum Elite practitioners, ensuring your smile transformation is guided by experience. Furthermore, opting for our Edinburgh clinic allows for easy access to follow-up appointments and continuous monitoring of your progress, contributing to a smoother and more effective journey towards your ideal smile.
